Marchickney
New Member
Hi guys
Just wanted to say hello & a massive thank you for this forum & all the knowledge shared by Nelson and all you guys! Invaluable info, and mucho appreciated ! Its defintely helping me circumnavigate the TRT rabbit warren which seems Huge!
.
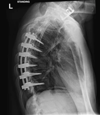
My TRT journey started in June 2020 when i crashed my motorcycle on a UK race track in the wet at 80-90mph into an earth embankment tyre wall (ouch !). Very lucky to be still here, and the list is way too long of all my physical injuries, but included multiple fractures etc with worst being broken neck & my spine in 7 places. Got some awesome Xrays lol (attached!). I can walk (slowly) & talk so i aint complaining
.
I was a fit & healthy 49 year old (13st) time of crash, into light weights (toning), complete Natty and still had my own Natty 17yr old libido (like a dog with 2 dicks) with no signs of T drop off (No idea what my T was only guess high end!). Me & Mrs be at it x3 a day first half of week when on holiday slowing to x2 a day 2nd half, returning home like a pair of sexed out zombies ! haha oh what fun and how i took that libido for granted!
But it was head butting the tyre wall (decelleration) that caused the biggest problem ! TBi - Brain swelling for a few days has thrown out my HPGA axis it seems. Suffered ED issues and 2 stone weight loss since.
Spinal surgeon noticed early signs of Oesteoporosis on an MRi a year after the crash, this and calf cramps, (suspect blood clot) led to blood tests showing high phosphates Hmmm. Internet search later - Boom ! established the Low T link. Jumped on Vit D and calcium supps and managed to persuade (just) an NHS Dr to do bloods (TT only).
Bloods at time borderline normal at 363 ng/dL (12.6 N/mols) and 384 ng/dL (13.3 n/mols) PRE-TRT, so i didnt make grade for treatment. Decided to Self Help (as ever), which is no worries after having paid £17k for private shoulder operation a few ££ for TRT seems like a bargain.
2nd pre-TRT Bloods 13.3/384 showed all other factors in range with exception of DHEA-Sulphates which was slightly higher than range 10.8 umol/L (1.2-8.98 range). Cortisol levels & Prolactin - unremarkable. Slightly high HDL/LDL but nothing concerning.
Last Pre-TRT (Winter) bloods TT = 7.64 N/mol (220ng/dL)
Tried & experimented with natural supps for 12 months but no improvement Testosterone wise, so TRT it is. Got very low libido compared to old me, but some improvement in ED issues with natural supplements (Stinging Nettle Root). Refractory period is now 5 -7 days, used to be an hour or two lol.
Signed up at private clinic Optimale UK at 100mg TC/wk and 500iu HCG weekly. Inj - will be trying x2 or x3 a week. Sure there may be a few tweaks next 12 months dialing in. Appreciate I will never be old me again, but somewhere close to that Crazy Driven Mofo would be nice
, for me & the missus.
Thats my story guys, my Mrs is going through change so shes having fun too, so we are both on similar HRT journeys trying to grab a slice of the past haha ! Love to all from this side of the Pond !
MacCrippy
Just wanted to say hello & a massive thank you for this forum & all the knowledge shared by Nelson and all you guys! Invaluable info, and mucho appreciated ! Its defintely helping me circumnavigate the TRT rabbit warren which seems Huge!
My TRT journey started in June 2020 when i crashed my motorcycle on a UK race track in the wet at 80-90mph into an earth embankment tyre wall (ouch !). Very lucky to be still here, and the list is way too long of all my physical injuries, but included multiple fractures etc with worst being broken neck & my spine in 7 places. Got some awesome Xrays lol (attached!). I can walk (slowly) & talk so i aint complaining
I was a fit & healthy 49 year old (13st) time of crash, into light weights (toning), complete Natty and still had my own Natty 17yr old libido (like a dog with 2 dicks) with no signs of T drop off (No idea what my T was only guess high end!). Me & Mrs be at it x3 a day first half of week when on holiday slowing to x2 a day 2nd half, returning home like a pair of sexed out zombies ! haha oh what fun and how i took that libido for granted!
But it was head butting the tyre wall (decelleration) that caused the biggest problem ! TBi - Brain swelling for a few days has thrown out my HPGA axis it seems. Suffered ED issues and 2 stone weight loss since.
Spinal surgeon noticed early signs of Oesteoporosis on an MRi a year after the crash, this and calf cramps, (suspect blood clot) led to blood tests showing high phosphates Hmmm. Internet search later - Boom ! established the Low T link. Jumped on Vit D and calcium supps and managed to persuade (just) an NHS Dr to do bloods (TT only).
Bloods at time borderline normal at 363 ng/dL (12.6 N/mols) and 384 ng/dL (13.3 n/mols) PRE-TRT, so i didnt make grade for treatment. Decided to Self Help (as ever), which is no worries after having paid £17k for private shoulder operation a few ££ for TRT seems like a bargain.
2nd pre-TRT Bloods 13.3/384 showed all other factors in range with exception of DHEA-Sulphates which was slightly higher than range 10.8 umol/L (1.2-8.98 range). Cortisol levels & Prolactin - unremarkable. Slightly high HDL/LDL but nothing concerning.
Last Pre-TRT (Winter) bloods TT = 7.64 N/mol (220ng/dL)
Tried & experimented with natural supps for 12 months but no improvement Testosterone wise, so TRT it is. Got very low libido compared to old me, but some improvement in ED issues with natural supplements (Stinging Nettle Root). Refractory period is now 5 -7 days, used to be an hour or two lol.
Signed up at private clinic Optimale UK at 100mg TC/wk and 500iu HCG weekly. Inj - will be trying x2 or x3 a week. Sure there may be a few tweaks next 12 months dialing in. Appreciate I will never be old me again, but somewhere close to that Crazy Driven Mofo would be nice
Thats my story guys, my Mrs is going through change so shes having fun too, so we are both on similar HRT journeys trying to grab a slice of the past haha ! Love to all from this side of the Pond !
MacCrippy
Attachments
Last edited: